Orientações Médicas
Ortopedia: Tornozelo e Pés:
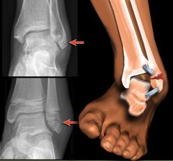
Fratura do Tornozelo
O que é a Fratura do Tornozelo?
No tornozelo, existem duas protuberâncias ósseas, chamadas maléolos, que são as extremidades distais dos dois ossos da perna, a fíbula e a tíbia. Quando um ou os dois ossos são fraturados, considera-se fratura de tornozelo.
Como ocorre?
A causa mais comum dessa fratura é o passo em falso seguido de torção; mas existem outras possibilidades de causas, como:
• Quedas;
• Esportes de contato;
• Pancadas fortes;
• Acidentes automobilísticos; entre outras;

Existem diversos tipos de fraturas. Cada um determina a gravidade da lesão e seu tratamento:
• Fratura Sem Deslocamento: Os pedaços do osso quebrado permanecem alinhados;
• Fratura Com Deslocamento: Os pedaços do osso quebrado perdem o alinhamento;
• Fratura Fragmentada: O osso é fraturado em mais de duas partes;
• Fratura Exposta: A pele é rasgada, muitas vezes pelo próprio osso fraturado, que fica em contato com o ar, o que facilita a entrada de bactérias no corpo, aumentando o risco de infecção;
• Fratura Fechada: Não há perfuração da pele pelo osso fraturado;
• Fratura de Impacto: As extremidades do osso fraturado se aproximam;
• Fratura de Avulsão: O músculo ou o ligamento, que se insere no osso, arranca um pedaço dele, afastando esta porção do restante do osso;
• Fratura Patológica: O osso foi enfraquecido ou destruído por enfermidade (como osteoporose), facilitando a fratura;
Quais são os sintomas?
Os sintomas da fratura de tornozelo podem incluir:
• Um estalo na hora da lesão;
• Dor aguda após o trauma;
• Perda da função (dor ao movimentar o tornozelo);
• Edema;
• Deformidade;
• Descoloração da pele ou hematomas, que aparecem horas ou dias após a lesão;
Como é diagnosticada?
Para diagnosticar uma fratura de tornozelo, o médico verificará os sintomas, o mecanismo da lesão e examinará a articulação do paciente.
Radiografias devem ser solicitadas. Vários ângulos diferentes podem ser radiografados, para localizar com precisão o local da fratura.
Como tratar?
O tratamento imediato consiste em imobilização, elevação, compressão e a aplicação de compressas de gelo. O médico talvez precise colocar o osso do tornozelo de volta no lugar e engessá-lo, por seis a oito semanas.
A cirurgia é necessária quando o osso do tornozelo não pode ser alinhado com perfeição antes de ser engessado. Nas primeiras duas ou três semanas após a lesão, o paciente deve manter o tornozelo elevado sobre um travesseiro. O gesso não deve ser molhado, e por isso deve ser coberto com um plástico na hora do banho.
O uso de muletas ou bengala poderá ser indicado pelo médico, neste caso ele instruirá o paciente o quanto de peso pode ser apoiado sobre a perna.
Não se deve coçar a pele em volta do gesso ou usar objetos (como cabide, agulha de tricô, etc) para coçar a pele coberta pelo gesso.
Como se cuidar?
• A alimentação deve ser variada e contar com alimentos nutritivos;
• Descanso;
• Elevação da perna, sempre que possível para evitar o edema;
O médico deverá ser chamado imediatamente se:
• O edema se apresentar acima ou abaixo da fratura;
• As unhas dos dedos dos pés ficarem cinza ou azul, mesmo quando a perna estiver elevada;
• Houver falta de sensibilidade da pele abaixo da fratura;
• Houver dor prolongada no local da fratura dentro do gesso ou aumento de dor que não possa ser atenuada com a elevação da perna ou com a ingestão de analgésicos;
• Houver ardência dentro do gesso;
Quando retornar ao esporte ou à atividade?
O objetivo da reabilitação é que o retorno do paciente ao esporte ou à atividade aconteça o mais breve e seguramente possível. O retorno precoce poderá agravar a lesão, o que pode levar a um dano permanente.
Todos se recuperam de lesões em velocidades diferentes e, por isso, para retornar ao esporte ou à atividade, não existe um tempo exato, mas quanto antes o médico for consultado, melhor.
O retorno ao esporte acontecerá, seguramente, quando o paciente:
• Possuir total alcance de movimento do tornozelo lesionado, em comparação ao tornozelo são;
• Possuir total força do tornozelo lesionado, em comparação ao tornozelo são;
• Correr em linha reta, sem sentir dor ou mancar;
• Correr em linha reta, a toda velocidade, sem mancar;
• Fizer viradas bruscas a 45º, inicialmente a meia velocidade e, posteriormente, a toda velocidade;
• Pular com ambas as pernas e somente com a perna lesionada, sem sentir dor;
Exercícios de reabilitação para o tornozelo fraturado:
**Atenção, cuidado! Sempre faça os seus exercícios acompanhado por um profissional.
Os exercícios a seguir são apenas um guia de tratamento básico, por isso o paciente deve fazer a reabilitação acompanhado de um fisioterapeuta, para que o programa seja personalizado.
A fisioterapia conta com muitas técnicas e aparelhos para atingir os objetivos, como: analgesia, fortalecimento muscular, manutenção ou ganho da amplitude de movimento de uma articulação, etc, e por isso, o tratamento não deve ser feito sem a supervisão de um profissional.

1 - Alongamento Com a Toalha:
Sentar sobre uma superfície firme, com a perna lesionada estendida à frente do corpo.
Laçar o pé com uma toalha e puxá-la, suavemente, em direção ao corpo, mantendo os joelhos estendidos.
Manter essa posição por 30 segundos e repetir 3 vezes.
Para um bom alongamento, é necessário sentir, apenas, um desconforto, não devendo permitir uma dor aguda.
Quando esse alongamento for muito fácil, deve-se iniciar o alongamento da panturrilha em pé.

2 - Alongamento em Pé da Panturrilha:
Ficar de pé, com os braços estendidos para frente e as mãos espalmadas e apoiadas em uma parede na altura do peito.
A perna do lado lesionado deve estar, aproximadamente, 40 cm atrás da perna do lado são.
Manter o lado lesionado estendido, com o calcanhar no chão, e inclinar-se contra a parede.
Flexionar o joelho da frente até sentir o alongamento da parte de trás do músculo da panturrilha, do lado lesionado.
Manter essa posição de 30 a 60 segundos e repetir 3 vezes.

3 - Alongamento do Músculo Soleo:
Em pé, de frente para parede com as mãos na altura do peito, com os joelhos levemente dobrados e o pé lesionado para trás, gentilmente apoiar na parede até sentir alongar a parte inferior da panturrilha.
Virar o pé lesionado levemente para dentro e manter o calcanhar no chão.
Manter essa posição por 30 segundos e repetir 3 vezes.
4 - Arco do Movimento do Tornozelo:
Pode ser feito sentado ou deitado.
Com a perna esticada e o joelho apontando para o teto, movimentar o tornozelo para cima e para baixo, para dentro e para fora e em círculos.
Não dobrar o joelho enquanto estiver fazendo esse exercício.
Repetir 20 vezes para cada direção.
5 - Exercícios Com a Faixa Terapêutica:

A - Resistência a dorsiflexão
Sentado com a perna lesionada estendida e o pé perto de uma cama, enrolar a faixa ao redor da planta do pé. Prender a outra extremidade da faixa no pé da cama.
Puxar os dedos do pé, no sentido do corpo. Lentamente, retornar à posição inicial.
Repetir 10 vezes e fazer 3 séries.
B - Resistência à flexão plantar
Sentado com a perna lesionada estendida, laçar a planta do pé com o meio da faixa.
Segurar as pontas da faixa com ambas as mãos e, suavemente, empurrar o pé para baixo apontando os dedos do pé para frente, tencionando a faixa terapêutica (thera band), como se estivesse acelerando o pedal de um carro.
C - Inversão com resistência:
Sentar com as pernas estendidas, cruzar a perna não lesionada sobre o tornozelo lesionado.
Enrolar a faixa no pé lesionado e em seguida laçar pé bom, para que a faixa terapêutica (thera band) fique com uma ponta presa.
Segurar a outra ponta da faixa terapêutica (thera band) com a mão. Virar o pé lesionado para dentro e para cima.
Retornar à posição inicial. Fazer 3 séries de 10.
D - Eversão com resistência:
Sentado, com ambas as pernas estendidas e a faixa laçada em volta de ambos os pés.
Lentamente, virar o pé lesionado para cima e para fora.
Manter essa posição por 5 segundos. Fazer 3 séries de 10.

6 - Elevação dos Calcanhares:
Segurar em uma cadeira e suspender o corpo sobre os dedos dos pés, tirando os calcanhares do chão.
Manter esta posição por 3 segundos e, lentamente, voltar à posição inicial.
Repetir 10 vezes e fazer 5 séries.
À medida que o exercício ficar fácil, levantar, apenas, o lado lesionado.

7 - Elevação Dos Dedos do Pé:
Em pé, tirar os dedos do chão.
No início pode-se balançar para trás sobre os calcanhares, de maneira que os dedos dos pés saiam do chão, para facilitar o exercício.
Manter essa posição por 5 segundos e fazer 3 séries de 10.

8 - Equilíbrio Sobre Uma Perna:
Ficar em pé, sem apoiar em nada e equilibrar-se sobre a perna lesionada.
Não deixar que o arco do pé aplaine-se, nem que os dedos do pé se dobrem.
Começar com os olhos abertos e, posteriormente, tentar fazer o exercício com os olhos fechados.
Manter a posição sobre uma única perna por 30 segundos.
Repetir 3 vezes.

9 - Pular Corda:
Pular corda com as duas pernas, por 1 minuto, depois apenas sobre a perna lesionada, por 1 minuto.
Se ficar fácil, aumentar o tempo.

10 - Tábua de Equilíbrio:
Esse exercício é importante para restaurar o equilíbrio e a coordenação do tornozelo.
Subir em uma tábua de oscilação e equilibrar-se apoiando sobre ambas as pernas e depois, sobre a perna lesionada.
Fazer isso por 2 a 5 minutos, 3 vezes ao dia.
Uma cadeira pode ser colocada em frente ao paciente, para ajudar a equilibrar-se.